Le cœur a d’abord été perçu comme le siège des émotions. L’anatomie du cœur et des vaisseaux a été étudiée dès l’Antiquité ; mais ce n’est que lorsque la notion de mesure s’est introduite dans la démarche scientifique qu’a pu débuter la médecine du cœur.
On peut dater du XIXe siècle le point de départ de l’utilisation scientifique de la mesure en cardiologie ; bien après William Harvey (1578-1657) qui grâce à ses déductions sur le flux sanguin explique à partir de 1616 le déplacement sanguin en circuit fermé actionné par le cœur. Ce cheminement sanguin imaginé à partir d’un cœur désormais pompe était encore inspiré de l’irrigation et donc assez différent de celui que nous avons tous en tête actuellement ; quant à relier perception sonore et pulsations cardiaques, ce fut bien le travail du XIXe siècle.

Figure 1 : Schéma de la circulation sanguine dans le corps humain ; (à g.) Planche Anatomie. Les Artères, extraite de l’Encyclopédie de Diderot et d’Alembert ; (à dr.) Schéma moderne, WikiCommons. En rouge les artères, en bleu les veines.
La mesure du pouls cède la place à l’écoute du rythme cardiaque quand Laennec (Quimper 1781 – Douarnenez 1826) invente, en 1818, un instrument de mesure pratique qu’il nomme stéthoscope. Les textes relatant son invention par l’auteur méritent d’être commentés, non seulement pour comprendre le cheminement de la pensée de l’auteur, mais aussi pour apprécier la présentation d’une nouvelle technique médicale au XIXe siècle.
Après avoir présenté son invention lors d’une séance de l’Académie des sciences en 1818, le jeune médecin de l’hôpital Necker
(1) obtient la publication d’un gros ouvrage en deux tomes :
De l’auscultation médiate ou traité du diagnostic des maladies des poumons ou du cœur fondé principalement sur ce nouveau moyen d’exploration. Ces livres seront réédités plusieurs fois et modifiés. En exergue, la citation d’Hippocrate : « Pouvoir explorer est à mon avis une grande partie de l’art » donne l’idée de la perspective dans laquelle se situe le médecin breton.
@@@@@@@
La préface de la première édition de 1819 est sobre, mais le besoin de se justifier et de convaincre ses contemporains de l’utilité de l’instrument qu’il va présenter est frappant (préface p. xxv) :
L’objet principal de mon ouvrage étant de faire connaître le parti que l’on peut livrer du cylindre pour distinguer les diverses lésions du poumon […]
Il semble surtout craindre les réactions de ceux qui employaient des méthodes d’exploration plus frustes se basant sur la technique d’Auenbrugger, la percussion (préface p. xxxi) :
Si j’ai combattu quelquefois leur manière de voir, j’espère que personne ne se méprendra sur le motif qui m’a porté à le faire
(2).
L’ instrument si innovant est présenté modestement en fin (§ 11 à 17) d’une courte introduction de 14 pages, la planche illustrative avec son explication étant renvoyée en fin du premier tome de 456 pages. Laennec indique en première page de cette introduction qu’il est important de pouvoir ausculter le cœur :
Le cœur, quoique d’une structure plus robuste, est exposé à des altérations très variées […] l’accroissement de nutrition, ainsi que la dilatation de cet organe surtout, sont au nombre des maladies les plus communes.

Figure 2 : Léopold Auenbrugger, médecin autrichien (1722-1809). Il est l’inventeur de l’examen clinique des cavités thoracique ou abdominale par percussion digitale. La percussion immédiate consiste à frapper directement avec l'extrémité des doigts recourbés une zone du corps ; la percussion médiate se pratique avec le majeur d’une main qui frappe celui de l’autre main appliquée en regard de la zone du corps à examiner.
Puis, comme dans la préface, il se justifie auprès des partisans de la méthode de percussion d’Auenbrugger et montre qu’il en connaît les limites :
Les résultats de la percussion sont d’ailleurs équivoques quand l’absence du son n’existe qu’à la partie inférieure droite de la poitrine, ils sont souvent trompeurs quand la poitrine est déformée même à un léger degré.
C’est l’anecdote relatée p. 7 de l’introduction qui aurait inspiré la construction et l’utilisation du premier instrument d’écoute à distance, elle est reprise dans beaucoup d’ouvrages d’histoire de la cardiologie :
Je fus consulté en 1816, pour une jeune personne qui présentait des symptômes généraux de maladie du cœur, chez laquelle l’application de la main et la percussion donnaient peu de résultat à raison de l’embonpoint. L’âge et le sexe de la malade, m’interdisant l’espèce d’examen dont je viens de parler, je vins à me rappeler un phénomène d’acoustique fort connu : si l’on applique l’oreille à l’extrémité d’une poutre, on entend très distinctement, un coup d’épingle donné à l’autre bout.
Laennec ne mentionnera pourtant jamais dans ses ouvrages scientifiques qu’il avait une culture musicale et qu’il jouait de la flûte. Pourtant, cela nous semble important à relever en tant que source d’inspiration tant pour la technique de l’écoute que pour la construction de l’instrument, qu’il décrit comme suit :
Je pris un cahier de papier, j’en formai un rouleau fortement serré dont j’appliquai une extrémité sur la région précordiale, et posant l’oreille à l’autre bout, je fus aussi surpris que satisfait d’entendre les battements du cœur d’une manière beaucoup plus nette et plus distincte que je ne l’avais jamais fait par l’application immédiate
(3) de l’oreille.
Ce premier instrument sera suivi par la construction d’autres instruments, sur le même principe, en divers matériaux dont les descriptions font l’objet des deux pages suivantes. On est frappé d’une part par la précision de la description – il ne fait aucun doute que Laennec ne craint pas d’être copié – et d’autre part par la modestie – il ne craint pas de mentionner ses échecs, ainsi d’éventuels futurs constructeurs ne perdront pas leur temps :
Les corps les plus denses ne sont pas, comme l’analogie pourrait le faire penser les plus propres à former ces instruments […] Les corps d’une densité moyenne , tels que le papier, le bois, le jonc à canne, sont ceux qui m’ont constamment parus préférables à tous les autres.
Ce n’est qu’en p.11 et de plus en note de bas de page que Laennec propose un nom pour l’instrument : « stéthoscope » (du grec stethos : poitrine ou cœur et skopos : observateur). Dans les éditions suivantes, la dénomination fera partie intégrante du texte.
Il indique ensuite les positions à prendre pour l’auscultation, et donne rapidement quelques interprétations des bruits entendus qui seront développés dans les chapitres des premiers et deuxième tomes. Il explique aussi les dimensions de son instrument :
[…] un plus grand diamètre ne permet pas toujours d’appliquer exactement le cylindre sur tous les points de la poitrine ; plus long, l’instrument devient difficile à maintenir dans cet état d’application exacte ; plus petit, il obligerait le médecin à prendre une position gênante
À la fin de l’introduction, il éprouve le besoin de rappeler la méthode de la percussion :
L’auscultation médiate, d’ailleurs, ne doit pas faire oublier la méthode d’Avenbrugger ; elle lui donne une importance toute nouvelle, et en étend l’usage à beaucoup de maladies dans lesquelles la percussion seule n’indique rien, ou peut même devenir une source d’erreurs. Ainsi c’est par la comparaison des résultats donnés par l’un et l’autre procédés, que l’on obtient des signes certains et évidents de l’emphysème du poumon, du pneumothorax, et des épanchements liquides dans la plèvre.
On peut proposer, comme interprétation de ce luxe de précaution à l’égard d’une méthode en laquelle Laennec n’a guère confiance, un désir de ménager ses maîtres qui louaient et pratiquaient la méthode de la percussion. Cette interprétation est confirmée par la teneur de la préface de la deuxième édition, plus insistante encore sur les méthodes d’écoute du passé.
À propos des maladies pulmonaires
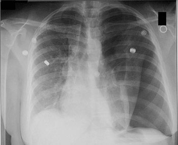
Les nombreux chapitres des deux tomes (treize chapitres pour le tome I et trente-neuf pour le tome II) sont émaillés de constatations et interprétations rendues possibles par le stéthoscope, tant pour les maladies cardiaques que pulmonaires, avec une prose plus discursive que pour la description de l’instrument. Laennec énumère les maladies pulmonaires détectables par son instrument ; le chapitre sur le pneumothorax est intéressant car, en l’absence de technique radiographique, l’auscultation médiate (avec stéthoscope), par la dissymétrie des sons entendus, permet sa mise en évidence sur l’être humain.

Figure 3 : Image par radiographie d’un pneumothorax (en bas à droite) (image WikiCommons, auteur Medical Cases)
Un pneumothorax est la formation d’une poche d’air en dehors du poumon, qui provoque l’affaissement de celui-ci. Il peut être spontané ou traumatique (suite à un choc). Un emphysème est une destruction des parois des alvéoles pulmonaires (qui peut être causée par le tabac – il était aussi causé, à l’époque, par la fumée des maisons chauffées au bois). Il provoque des difficultés respiratoires et peut provoquer un pneumothorax.
@@@@@@@
L’introduction du livre, qui est donc la présentation du stéthoscope au monde médical, se termine par une invitation à acquérir la pratique de l’instrument :
[…] ce n’est que dans les hôpitaux que l’on peut acquérir d’une manière sure et complète l’habitude de l’auscultation médiate.
Les médecins de la pratique civile ne sont cependant pas oubliés, la dernière ligne de l’introduction est (déjà à cette époque) un encouragement à la coopération entre médecins hospitaliers et médecins « civils ».

Figure 4 (à g.) "Laënnec à l'hôpital Necker ausculte un phtisique devant ses élèves (1816)". Peinture commémorative ultérieure de Théobald Chartran (1849-1907), Grand escalier de la Sorbonne ; on reconnaît le stéthoscope dans la main gauche de Laennec (à dr.) "Laënnec et le stéthoscope" Peinture (ca. 1960) de Robert A. Thom (1915-1979).
Grâce à cet ouvrage, l’invention du jeune médecin français sera rapidement connue et utilisée en Europe, non sans quelques réticences, de même qu’elle sera vite améliorée par divers autres inventeurs qui proposeront un tuyau souple et une écoute biauriculaire. Les techniques d’imagerie médicale sonorisée de la deuxième partie du XXe siècle apporteront beaucoup de précision sans détrôner le classique stéthoscope lors des consultations dans le cabinet du généraliste. Le cylindre est encore utilisé pour entendre les bruits du cœur du fœtus dans les situations où l’on ne peut avoir recours à l’échographie.
En ce qui concerne le fonctionnement du cœur, Laennec restera accroché à un cercle de réceptivité sensorielle, essentiellement l’ouïe et le cœur ; il faudra attendre les découvertes sur les régulations par Claude Bernard, puis sur l’activité électrique, puis les observations de pièces d’autopsie avec les techniques du XXe siècle pour que le muscle cardiaque soit mieux exploré et compris. Actuellement, une étape significative est en cours, fondée sur la recherche des mécanismes génétiques intervenant dans l’expression et la régulation des diverses protéines contractiles du muscle cardiaque.
@@@@@@@
Finalement, la méthode de présentation de cette innovation majeure dans le domaine de l’auscultation est bien différente de celle employée dans le monde scientifique actuel ; elle est admirable pour son honnêteté et pour le désir de convaincre qu’elle exprime. Elle pourrait être un sujet, si ce n’est d’exemple, au moins de réflexion pour les jeunes chercheurs actuels, imprégnés, entraînés par des fonctionnements de publications si exigeants – mais qui ne mentionnent jamais les essais ayant échoué.
La présentation de ce nouvel instrument qu’est le stéthoscope a le mérite d’être claire, facile et agréable à lire ; elle pourra, de manière modeste, à l’image de son auteur, informer le lecteur sur le cheminement de la découverte et de la publication des résultats relatifs à cet outil qui a révolutionné l’auscultation.
Janvier 2012

La planche de schémas de Laennec – Le stéthoscope actuel

Figure 5 : Schémas du stéthoscope, planche 1 en fin du tome 1 de Laennec (page suivante les légendes de Laennec à ces schémas).

La figure 2 introduit une certaine confusion par rapport à la figure 1 : l’obturateur (ou en-bout) se retrouve en bas en figures 2 et 3 – alors qu’il est en haut en figure 1.
La figure 5 montre le corps inférieur, à visser dans le corps supérieur. Comme l’indique Laennec (§13), le cylindre est « brisé au milieu à l’aide d’une vis, afin de le rendre plus portatif » : il est démontable par dévissage.
La figure 6 montre en son rond central (indiqué par a) le « diamètre du canal », canal auditif que ‘on retrouve dans toute sa longueur dans les figures 2 et 3.

Figure 6 :
Reconstitution d’un stéthoscope de Laennec (image site Medical Antiques online,
http://www.antiquemed.com/). Il faisait une longueur d’environ 30 cm (« un pied de longueur », précise Laennec p.9)

Figure 7 : (à g.) Le stéthoscope usuel moderne (image WikiCommons, auteur Luna04). C’est le médecin germano-américain David Littmann (1906-1981) qui donna cette forme définive à l’instrument dans les années 1960. On reconnaît l’en-bout (figure 4 ci-dessus sur la Planche 1), de nos jours pourvu d’une membrane. Le conduit auditif n’est plus une cavité dans un morceau de bois, mais un tube souple en caoutchouc ; (à dr.) Un stéthoscope fœtal moderne. Ce modèle, très analogue à celui de Laennec, est encore en usage de nos jours, chez certains généralistes et certaines sages-femmes ; il est aussi vendu dans le grand public (femmes enceintes) pour"écouter les battements de cœur de votre bébé".
(1) Cet hôpital, situé à Paris VII°, a été fondé en 1778 sous le nom d'« Hospice de charité des paroisses de Saint-Sulpice et du Gros Caillou », par Suzanne Necker, née Curchod, épouse de Jacques Necker, ministre des Finances de Louis XVI.
(2) Laennec rend d’ailleurs hommage à Corvisart (1755-1821), qui fait connaître en France les travaux d’Auenbrugger. Cet hommage au médecin de l’empereur en cette période de Restauration est à souligner.
(3) Comme pour la percussion (note ci-avant), l’auscultation immédiate signifie "sans instrument médiateur", c'est-à-dire directement à l’oreille. L’auscultation médiate se fait par la médiation d’un instrument, le stéthoscope – d’où le titre de l’ouvrage de Laennec.